
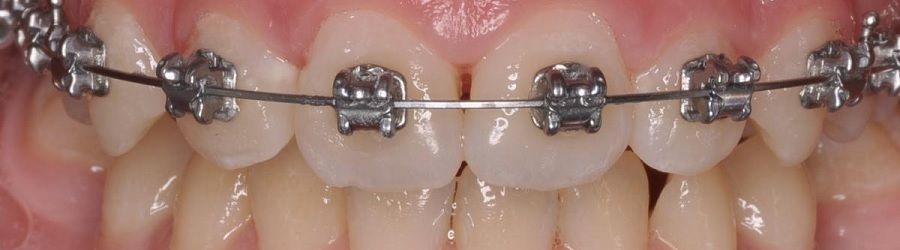
Kapaklı Braketler
Kapaklı braket sisteminde, braketin kendisi özel kapak mekanizmalı bir yapıda üretilmiştir. Bu sayede; tel, braketlerin içerisine çeşitli lastik ya da tel ligatürler kullanılmadan braketlerin üzerinde bulunan bu özel kapaklar ile oturtturulmaktadır. Bu sayede tel ve braket arasındaki sürtünme minimum düzeyde olur.
Unutmamak gerekir ki, sürtünme kuvveti ortodontide dişleri hareket ettirirken karşılaşılan en büyük sorundur!!! Dolayısıyla, sürtünmenin azalması demek, diş hareketinin konvansiyonel metodlara göre daha hızlı olacağı anlamına gelmektedir. Sonuç, daha kısa sürede tamamlanan, ortodontist ile gerçekleştirilen seans sürelerinin daha kısa olduğu ve daha hijyenik bir ortodontik tedavidir!